CORSO di
PROTESI FISSA
SU DENTI ED IMPIANTI
L’obiettivo del corso è quello di fornire un protocollo sistematico collaudato che porti al raggiungimento di un risultato finale estetico, biologico e funzionale sia su denti naturali che su impianti. Sarà dedicato ampio spazio alle tecniche innovative, ai nuovi materiali, alle nuove tecnologie digitali senza dimenticare i concetti fondamentali estetici e funzionali che devono guidarci nelle riabilitazioni protesiche e che saranno analizzati in ogni loro aspetto.


Nove moduli Otto giornate
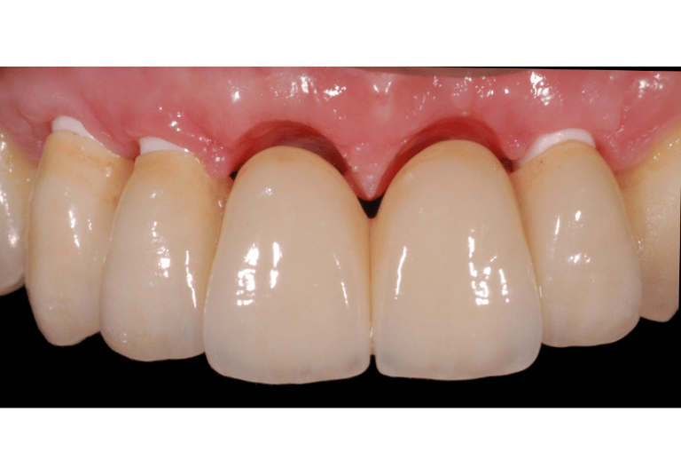
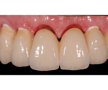
Ogni trattamento protesico di successo dal più semplice al più complesso ha l’obiettivo di soddisfare il paziente da un punto di vista estetico e funzionale con la preservazione dei tessuti dei denti e dei tessuti parodontali per una prognosi e una durata a lungo termine. La diagnosi e Il piano di trattamento risultano fondamentali per il successo nelle riabilitazioni protesiche.


Tramite l’analisi estetica e l’analisi funzionale possiamo ottenere delle informazioni fondamentali per ottimizzare il piano di trattamento e per ottenere una corretta ceratura di diagnosi che è il punto focale di ogni riabilitazione e che può concretizzarsi in un provvisorio o in un mock- up ovvero nella previsualizzazione del lavoro finale sia dal punto di vista estetico che funzionale che il paziente potrà testare e valutare con il vantaggio impagabile di preservare l’integrità dei suoi denti anche nei casi clinici più complessi.La scelta del materiale restaurativo è un altro aspetto cruciale delle riabilitazioni. Tramite le ceramiche integrali possiamo ottenere dei risultati estetici eccellenti. La loro conoscenza, l’uso delle tecniche adesive e la corretta comunicazione con il laboratorio ci permettono, tramite terapie protesiche minimante invasive, di salvaguardare l’integrità degli elementi dentari ottenendo eccellenti risultati estetici e funzionali duraturi nel tempo. Anche nel campo dell’impianto-protesi i nuovi concetti biologici, i nuovi materiali e i nuovi design impiantari hanno cambiato i tradizionali protocolli tecnici permettendo una ottima integrazione estetica e biologica anche nella protesi su impianti.




Dr. Gianluca Delli Ficorelli
Dr. Simone Gismondi
Consigliamo questo corso ai clinici che vogliono acquisire un approccio protesico sistematico ed efficace attuabile in ogni situazione clinica semplice o complessa sia su denti naturai che su impianti e che vogliono acquisire o approfondire i concetti funzionali e gnatologici, l’uso degli articolari, dell’arco facciale e imparare a registrare correttamente le varie tecniche di registrazione della relazione centrica.
20
Posti disponibili
8
Giornate
Moduli
9
PRENOTA SUBITO IL TUO POSTO!
DATE DA DEFINIRE


Casa Rossi
eventiculturali@rossi-pm.com


